Nombre:
Ependimoma
Frecuencia: Rara
Supervivencia: Media
Sistema o Aparato: Cerebro y Nervioso
Sistema o Aparato secundario:
Gráfico:
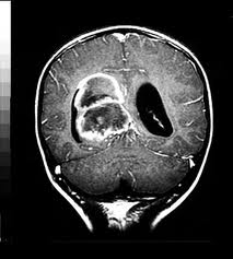
Imagen:

Información: Un ependimoma es una neoplasia intracraneal del sistema nervioso central , que aparecen comunmente en el cuarto ventrículo en niños y en el conducto ependimario o raquídeo en la región lumbosacra en adultos. Ocasionalmente se usa el término siringomielia para los ependimomas, los cuales pueden aparecer en la neurofibromatosis tipo II. Los ependimomas se tratan quirúrgicamente, los cuales, con una resección total, se asocian a pronósticos excelentes de sobrevivencia. A los 5 años se espera una sobrevida de 80%, aunque no todos los ependimomas puede resecarse completamente, por lo que se emplea además la radioterapia y quimioterapia.1
Morfología
Los ependimomas se componen de células con núcleos regulares y ovoides o circulares. Por lo general se acompañan de una parenquima denso y fibroso haciendo que las células tumorales adopten una forma glandular y elongada que tienen cierto parecido al canal ependimal embriológico con vasos sanguíneos irrigando la neoplasia.2 Los ependimomas extraespinales o extradurales pueden ser una forma muy inusual de teratoma.3 4
Epidemiología
Los ependimomas constituyen cerca del 5% de los gliomas intracraneales de los adultos y un 10% de los tumores del sistema nervioso central en niños. Su aparición ocurre como promedio a los 5 años y luego a los 35 años de edad. En la infancia aparecen en los ventrículos especialmente el cuarto ventrículo y en los adultos aparecen en el canal que contiene a la médula espinal.1
Cuadro clínico
Cuando se instalan en el cerebro, pueden producir dolor de cabeza, náuseas y vómitos al obstruir el flujo del líquido cefalorraquídeo. La obstrucción puede también causar hidrocefalia. Otros síntomas incluyen la pérdida del apetito, dificultad para dormir, pérdida temporal de distinguir colores, y de la memoria, entre otros.
http://es.wikipedia.org/wiki/Ependimoma
El ependimoma infantil es una enfermedad por la cual se forman células malignas (cancerosas) en los tejidos del cerebro y la médula espinal.
El cerebro controla funciones vitales como la memoria y la capacidad de aprender, los sentidos (el oído, la vista, el olfato, el gusto y el tacto) y las emociones. La médula espinal comprende grupos de nervios que conectan el cerebro con los nervios de la mayoría de las partes del cuerpo.
Uno de cada 11 tumores cerebrales en la infancia son ependimomas. Si bien los tumores cerebrales son poco frecuentes en los niños, constituyen el tipo más común de cáncer en la infancia, además de la leucemia y el linfoma.
Este sumario hace referencia al tratamiento de tumores cerebrales primarios (tumores que se originan en el cerebro). No se incluye en este sumario el tratamiento de tumores cerebrales metastásicos, es decir, tumores formados por células cancerosas que comienzan en otras partes del cuerpo y se diseminan al cerebro.
Hay muchos tipos diferentes de tumores cerebrales. Tanto los niños como los adultos pueden padecer tumores cerebrales; sin embargo, el tratamiento para ambos es diferente
http://www.healia.com/cancer-information/index.php/summary/CDR0000256848/Ependimoma-infantil-Tratamiento-PDQ
Fármacos indicados:
Protonterapia
Vídeo:
Visitas: 4462
Mostrando Registros desde el 1 hasta el 0 de un total de 0