Nombre:
Linfoma de Hodgkin
Frecuencia: Muy rara
Supervivencia: Media
Sistema o Aparato: Sangre/Hematológico
Sistema o Aparato secundario:
Gráfico:
Imagen:

Información: Linfoma
Los linfomas (linfomas malignos) son un grupo de tumores que se originan en ganglios linfáticos, a veces pueden tener un origen extraganglionar como tubo digestivo, pulmón, piel bazo, médula hematopoyética, dondequiera que se encuentre tejido linfoide asociado a las mucosas. La célula tumoral del linfoma prolifera determinando un borramiento de la arquitectura del ganglio, que aparece macroscópicamente aumentado de tamaño, blando o a veces firme, al corte de color rosado y consistencia como de carne de pescado crudo. El linfoma se va extendiendo a otros grupos ganglionares vecinos, después a los alejados. Luego se extiende al bazo, hígado, médula ósea y otros órganos en forma de tumores metastásicos.
Hay dos grupos principales de linfoma: el linfoma de Hodgkin y linfoma no-Hodgkin.
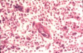
Linfoma de Hodgkin o Enfermedad de Hodgkin (figura 5.26).
En el linfoma de Hodgkin el parénquima tumoral está constituido por dos tipos de células de origen linfoide: las células de Hodgkin, que son grandes (alrededor de 20 micrones) con citoplasma relativamente abundante, núcleo grande vesiculoso, redondeado o irregular, membrana nuclear gruesa por marginación de cromatina y nucléolo prominente. Las células de Reed-Sternberg: gigantes (mayores de 50 micrones) con citoplasma abundante; en su forma característica tienen dos núcleos grandes vesiculosos con membrana nuclear gruesa; cada uno tiene un nucléolo prominente; los nucléolos están ubicados en una misma línea en un área vecina de ambos núcleos. El hallazgo de células de Reed-Sternberg características es necesario para hacer el diagnóstico de enfermedad de Hodgkin.
En el linfoma de Hodgkin suele haber predominio del estroma y las células neoplásicas no siempre son muy abundantes. El estroma está constituido principalmente por linfocitos pequeños; además se observan plasmocitos, granulocitos eosinófilos, histiocitos y fibras colágenas.
Se reconocen cuatro variedades histológicas principales de linfoma de Hodgkin. En orden de mejor a peor pronóstico son las siguientes: predominio linfocítico, esclerosis nodular (figura 5.26), celularidad mixta y depleción linfocítica. Suele haber una relación entre la variante histológica y el grado de diseminación de la neoplasia en el momento del diagnóstico.
Diferencias entre linfoma de Hodgkin y linfoma no-Hodgkin:
1) Se considera que las variedades del linfoma de Hodgkin son manifestaciones de una misma enfermedad (enfermedad de Hodgkin). Los distintos linfomas no-Hodgkin serían diferentes enfermedades.
2) El linfoma de Hodgkin se disemina en forma ordenada: de un grupo ganglionar a los otros, según la disposición de la circulación linfática; luego al bazo, hígado, médula hematopoyética, etcétera. Los linfomas no-Hodgkin se diseminan en orden no siempre predecible.
3) Ambas clases de linfoma comprometen de preferencia grupos ganglionares centrales o axiales (cervicales, mediastínicos); sin embargo, en los linfomas no-Hodgkin se comprometen con cierta frecuencia ganglios periféricos (inguinales, axilares).
4) El linfoma de Hodgkin casi nunca compromete el anillo de Waldeyer y los ganglios mesentéricos. Los linfomas no-Hodgkin pueden afectarlos.
5) Aunque la gran mayoría de todos los linfomas son de origen ganglionar, los linfomas no-Hodgkin a veces tienen un origen extraganglionar; los linfomas de Hodgkin casi nunca.
http://escuela.med.puc.cl/publ/patologiageneral/patol_099.html
También llamada linfoma de Hodgkin, es un cáncer que se origina en el tejido linfático. Este tejido comprende los ganglios linfáticos y los órganos relacionados que forman parte del sistema inmunológico y del sistema productor de sangre del cuerpo. Los ganglios linfáticos son órganos pequeños en forma de frijol que se encuentran debajo de la piel en el cuello, las axilas y la ingle. También se encuentran en muchas otras partes del cuerpo, por ejemplo dentro del tórax, el abdomen y la pelvis.
Los ganglios linfáticos producen y almacenan un tipo de glóbulos blancos, llamados linfocitos, encargados de combatir las infecciones y se comunican a través de todo el cuerpo mediante los vasos linfáticos (conductos estrechos similares a los vasos sanguíneos). Estos vasos linfáticos transportan un líquido acuoso e incoloro (líquido linfático) que contiene los linfocitos. Finalmente, el líquido linfático pasa a las venas localizadas en la parte superior del tórax.
Entre otros componentes del sistema linfático se encuentran el bazo, la médula ósea y el timo. El bazo es un órgano situado en la parte superior izquierda del abdomen y está compuesto principalmente de linfocitos maduros e inmaduros. Su función consiste en eliminar las células viejas y otras sustancias de desecho de la sangre. La médula ósea es el tejido esponjoso situado dentro de los huesos que crea nuevos glóbulos rojos y blancos, incluyendo los linfocitos. El timo es un pequeño órgano situado en el tórax que desempeña una función importante en la maduración de un linfocito especial llamado célula T.
Debido a que el tejido linfático se encuentra en numerosas partes del cuerpo, la enfermedad de Hodgkin puede originarse en casi cualquier parte, pero por lo general se origina en los ganglios linfáticos de la parte superior del cuerpo, siendo el tórax, el cuello y las axilas las áreas más comunes. Este tipo de cáncer produce un agrandamiento del tejido linfático, lo que puede ocasionar presión sobre algunas estructuras importantes. La forma principal de propagación de la enfermedad de Hodgkin es a través de los vasos linfáticos a otros ganglios linfáticos. La mayoría de veces esta enfermedad se propaga a los ganglios linfáticos cercanos en el cuerpo y no a los distantes. Pocas veces logra pasar a los vasos sanguíneos y puede extenderse a casi cualquier otra parte del cuerpo, incluyendo el hígado y los pulmones.
Existen numerosas razones por las cuales los ganglios linfáticos pueden aumentar de tamaño. Aunque esto puede ser consecuencia de la enfermedad de Hodgkin, con mucha más frecuencia se debe a que el cuerpo está combatiendo una infección.
http://es.wikipedia.org/wiki/Enfermedad_de_Hodgkin
http://www.slideshare.net/angelofmedicine/linfoma-de-hodgkin-y-linfoma-no-hodgkin
Fármacos indicados:
Metotrexato
Ciclofosfamida
Procarbazina
Inhibidores de la proteína Haspina
Brentuximab vedotin
Vídeo:
Visitas: 4502
Mostrando Registros desde el 1 hasta el 0 de un total de 0