A tener en cuenta:
Teoría Básico
Tipo: Otros inhibidores
Grupo de fármacos que inhiben diferentes rutas como: la vía de la MAPK, vía IP3-DAG o vía inositol trifosfato (PI3)-quinasa; asociadas a receptores principalmente de la tirosina-quinasa RPTK (VEGFR, EGFR, PDGFR, MET), al proteosoma, a la ruta del mTOR, la vía Hedgehog, la vía Notch, a la proteína resultante de la fusión BCR-ABL o a las moléculas de adhesión celular como son la ICAM-1, la VCAM-1 y la E-selectina u otras proteínas o rutas mitogénicas.
Categoría:
Diana:
Nombre:
Comercial:
Estado: Experimentación
Tratamientos con base científica que actualmente están en fase de experimentación o todavía no usados en humanos.
Tecnología: Convencional
Foto:

Fórmula:
Gráfico:
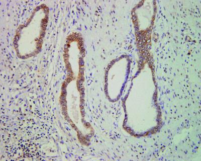
Información: La imagen muestra los tejidos humanos con tumores de páncreas (en marrón). El color marrón indica la localización de la CEPB-4. Crédito: IRB Barcelona / IMIM
El descubrimiento de un nuevo mecanismo de reprogramación de las células tumorales
Medical Press | 05/12/2011
Un estudio realizado por investigadores de Raúl Méndez, profesor ICREA de Investigación en el Instituto de Investigación Biomédica (IRB Barcelona) y Pilar Navarro en el IMIM (Institut de Recerca del Hospital del Mar, Barcelona) describe un nuevo mecanismo de reprogramación para la expresión degenes responsables de convertir una célula sana en una célula tumoral.
En el estudio, publicado en la edición de esta semana de Nature Medicine, los científicos han identificado la proteína CPEB4 como un “director de orquesta celular” que “activa” de cientos de genes asociados con el crecimiento del tumor.
“La particularidad es que no sólo sería la mutación de un gen específico que promueva el crecimiento del tumor, pero la expresión de una proteína en un sitio incorrecto que” provoca ”cientos de moléculas mensajeras (ARNm),que transmiten la información genética para la síntesis de proteínas, sin estos genes están mutados. Este proceso conduce a la expresión de muchos ”normales” los genes, pero en cantidades inadecuadas y los tiempos que más se parecen mucho a las primeras etapas del desarrollo embrionario en lugar de las etapas del desarrollo de órganos de adultos “, explica Raúl Méndez, un experto en la familia de proteínas CPEB. ”Este sería el caso de tPA (activador tisular del plasminógeno), una proteína que normalmente no se encuentran en elpáncreas sano, sino que muestra una alta expresión en los tumores de páncreas”, aclara Elena Ortiz-Zapater, el primer autor del artículo, y Pilar Navarro.
Los tumores son 80% más pequeño cuando está ausente CEPB4
Una de las conclusiones destacadas en el estudio es que en los tejidos examinados, el páncreas y el cerebro,CPEB4 no se detecta en las células sanas, pero sólo en los tumores. Por lo tanto la inhibición de esta proteínasería una muy específica anti-tumoral y el tratamiento con pocos efectos adversos ”, uno de los principales inconvenientes de los tratamientos contra el cáncer muchos”, dice Pilar Navarro, un investigador especializado encáncer de páncreas.
La imagen muestra los tejidos humanos con tumores de páncreas (en marrón). El color marrón indica la localización de la CEPB-4. Crédito: IRB Barcelona / IMIM
Utilizando los experimentos con células humanas de cáncer en ratones, los investigadores han demostrado que la disminución de los niveles de CPEB4 en células de cáncer se reduce el tamaño de los tumores hasta en un 80%.Aunque el estudio se limita a dos tipos de tumor, de acuerdo con los co-autores, ”debido a los efectosobservados en los tumores examinados y el tipo de genes regulados por este mecanismo, se espera que estéinvolucrado en muchos otros tipos de cáncer”
La imagen muestra un tejido de páncreas sano, sin tumores y la ausencia de la CEPB-4. Crédito: IRB Barcelona /IMIM
Este estudio abre nuevas vías para nuevos tratamientos para el cáncer, por lo que los investigadores están diseñando y analizando CPEB4 inhibidores de potencial interés terapéutico. ”Las aplicaciones clínicas son muy prometedores, a pesar de una intensa investigación es necesaria para identificar moléculas inhibidoras y para ponerlos a prueba en varios modelos antes de determinar su potencial clínico y, en este caso, su uso en los pacientes”, advierte Navarro y Méndez.
http://www.medicalpress.es/el-descubrimiento-de-un-nuevo-mecanismo-de-reprogramacion-de-las-celulas-tumorales
http://kerchak.com/salud/cpeb4-proteina-que-favorece-el-cancer-podria-ser-inhibida/
http://www.nature.com/nm/journal/vaop/ncurrent/full/nm.2540.html
http://www.labgrab.com/users/jeffrey-serrill/blog/cpeb4-interacts-specifically-mrna-transcripts-related-tumorigenesis_id=12
http://www.irbbarcelona.org/index.php/es/news/irb-news/scientific/discovery-of-a-new-reprogramming-mechanism-for-tumor-cells
Cáncer de páncreas
Glioblastoma multiforme
Vídeo:
Visitas: 2664
Mostrando Registros desde el 1 hasta el 0 de un total de 0